
インプラントによって救われたという方が数多くいらっしゃいます。

[1 診査]
通常以下の資料が必要となります。

[2 解析〜シュミレーション]
資料をパソコンで解析し、同上で最適なインプラント手術をシュミレートします。

[3 サージカルテンプレート]
シュミレーションの状態を口腔内に完璧に再現するための特殊な器具を作製します。
これはデータに基づき全てコンピュータにより極めて精密かつ正確に作製されます。
注)ケースによっては使用しないことがあります。

[4 手術]
手術は無菌的に行われます。ほとんどは口腔内の部分麻酔のみで可能ですが、ご希望、
あるいは当方判断によっては、セデーション(静脈内鎮静法)も行ないます。
[5 一次補綴]
通常手術当日に一次補綴(仮歯)が装着されます。
注)骨の状態によっては装着できないことがあります。
[6 二次補綴]
3〜6ヶ月の骨結合の完成を待った後、二次補綴(最終人工歯)が作製装着されます。
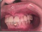
[case1]

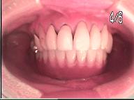
[case2]

All-on-4

無歯顎に対して最小限=4本の負担での固定性ブリッジを可能にしたインプラント治療法です。
これまで「骨の状態が悪くて不可能」といわれていたケースでもほとんどが可能となりました。
手術当日に固定性ブリッジが装着されるため、それまでのつらい思いから一気に開放されます。
連携医院
マロクリニック東京
当院はマロクリニック東京と協力関係を結ばせて頂いております。この事により、
皆様にはより一層の安心感を持ってインプラント治療をお受けいただけることと思います。