
様々な治療法のうちいくつかをご紹介します。
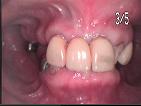
MGS(歯肉整形)
歯周炎に罹りにくくしたり、あるいは審美的要求に応えるため歯肉の整形を行うことがあります。
下のケースでは歯の形や大きさをそろえるため歯肉縁のラインを整える手術をしました。
術前

術後

MTM(小矯正)
局所的あるいは比較的軽度の歯列不正に対して実施される矯正治療(歯を動かす治療)です。
通常は矯正はすべて専門医をご紹介しておりますが、たまにやむない事情により実施します。
術前
術中
術後
自家移植
虫歯等で抜歯した部に、機能的に無用な歯(通常親知らず)を移し替えます。
FMRC(全体治療)
主に適切な咬合(かみ合わせ)の獲得を目的とした口腔内全体治療を指しますが、
近年では同時に審美的な改善を望まれる方が多くなっています。
[case1]
術前
術後
主な治療・・・抜歯、歯周治療、
歯内治療、矯正(依頼)、歯肉整形、
ダイレクトボンディング、セラミッククラウン。
(術前写真は矯正治療終了時のものです。)(参照MGS症例写真・・・同一患者様です。)
[case2]
術前
術後
主な治療・・・歯周治療、歯内治療、
インプラント、セラミッククラウン&ブリッジ。