審 美

口元が美しくなると皆様笑顔はもちろん内面的にも生き生きと変化されるようです。

ティースクリーニング
歯垢、歯石、着色、その他あらゆる汚れを徹底的に除去します。

  

ホワイトニング
安全で有効な専用薬剤を用い、削らずに歯を白く変化させます。

スーパーコンポジットレジンダイレクトボンディング
セラミックに勝るとも劣らぬ自然観。1回の治療で完了出来ます。
 

[case1]

  

[case2]

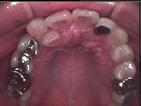
ハイブリッド
歯冠修復から欠損補綴(ブリッジ)まであらゆるケースに対応可能です。

[case1]

[case2]
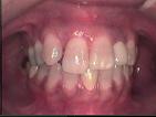
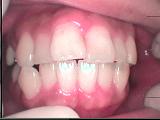
術前 抜歯
術後

セラミック
美しさ、耐久性など審美治療の代名詞といえます。

[case1]
術前術後


[case2]
術前
術後

[case3]
術前
仮歯〜抜歯 術後

ノンクラスプデンチャー
クラスプ(鈎、止めがね)の無いデンチャー(取り外し義歯、入れ歯)。目立ちません。

    
ページトップへ
Copyright (C) Asada Dental Clinc All Rights Reserved.